Skip to content
  • About
  • Contact
  • Disclaimer
  • DMCA
  • Privacy Policy
  • Terms and Conditions

Leda Sharyl

Explore ideas, tips guide and info Leda Sharyl

'

Leda Sharyl

Explore ideas, tips guide and info Leda Sharyl

Home 2024 Tension Pneumothorax Ct
2024

Tension Pneumothorax Ct

author
By
1 minute, 39 seconds Read

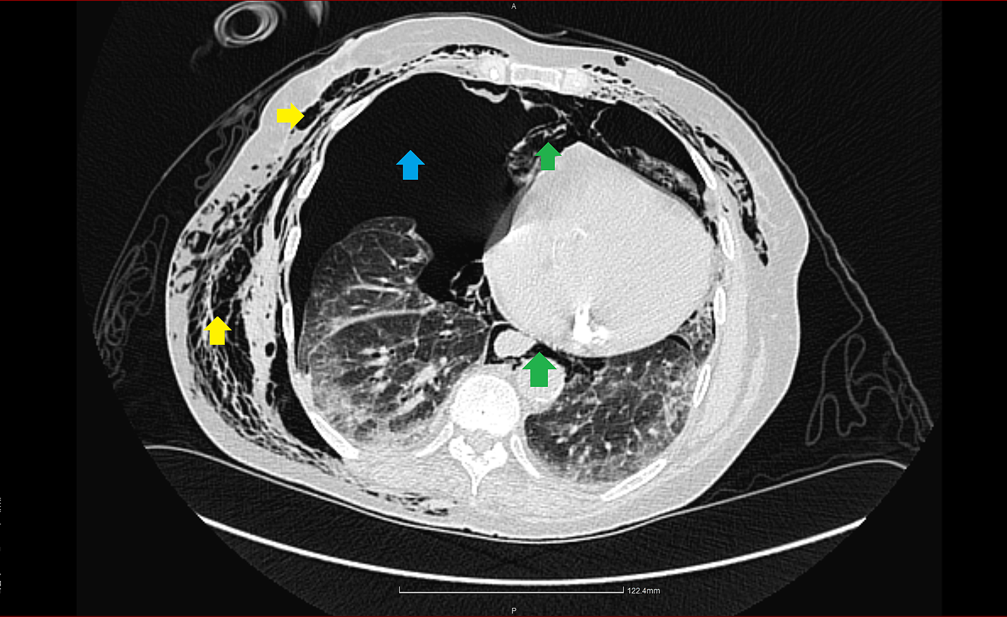
Tension Pneumothorax Ct. A subsequent thoracotomy was performed, during which tearing of a large branch of the. Large right pneumothorax, with a markedly hyperlucent right hemithorax as a result.


Tension Pneumothorax Ct

A lung ct scan uncovered that a tension pneumothorax has been developed (figure 2). Gas in the pleural space is termed a pneumothorax.

Tension Pneumothorax Ct Images References :

CT axial tension pneumothorax Stock Image C036/6390 Science Photo
Source: www.sciencephoto.com

CT axial tension pneumothorax Stock Image C036/6390 Science Photo, Tension pneumothorax is a potentially fatal medical emergency that requires high degree of suspicion, immediate recognition, and treatment because affected.

Tension pneumothorax Radiology at St. Vincent's University Hospital
Source: www.svuhradiology.ie

Tension pneumothorax Radiology at St. Vincent's University Hospital, Tension pneumothorax is accumulation of air in the pleural space under pressure, compressing the lungs and decreasing venous return to the heart.

Tension pneumothorax due to rib fracture Radiology at St. Vincent's
Source: www.svuhradiology.ie

Tension pneumothorax due to rib fracture Radiology at St. Vincent's, They occur when a perforation.

Chest CT scan uncovered a tension pneumothorax Download Scientific
Source: www.researchgate.net

Chest CT scan uncovered a tension pneumothorax Download Scientific, A tension pneumothorax, when intrapleural pressure exceeds atmospheric pressure throughout expiration, is a medical emergency that requires immediate.

Left tension pneumothorax Image
Source: radiopaedia.org

Left tension pneumothorax Image, Tension pneumothorax may occur after spontaneous pneumothorax, although it is more common after traumatic pneumothorax or with mechanical ventilation.

Cureus A Case of Tension Pneumothorax After Diverticular Rupture
Source: www.cureus.com

Cureus A Case of Tension Pneumothorax After Diverticular Rupture, Tension pneumothorax occurs when pleural pressure is transmitted to the mediastinum (see image.

Pneumothorax Geeky Medics
Source: geekymedics.com

Pneumothorax Geeky Medics, The archive below organizes different examples of a tension pneumothorax.

Pneumothorax Chest XRay MedSchool
Source: medschool.co

Pneumothorax Chest XRay MedSchool, The archive below organizes different examples of a tension pneumothorax.

Tension pneumothorax, CT scan Stock Image C058/2881 Science Photo
Source: www.sciencephoto.com

Tension pneumothorax, CT scan Stock Image C058/2881 Science Photo, Clinical signs of a tension pneumothorax include tachypnea, hypotension, pleuritic chest pain, tracheal deviation, jugular vein distention, and unilateral absence of breath sounds.

Thoracic CT scan on admission. Leftsided tension pneumothorax with
Source: www.researchgate.net

Thoracic CT scan on admission. Leftsided tension pneumothorax with, Tension pneumothorax is accumulation of air in the pleural space under pressure, compressing the lungs and decreasing venous return to the heart.

Previous

Chiefs Vs Jaguars History

Next

Holidays In July And August 2024

Similar Posts

2024

2024 Tax Calculator Estimate Canada

author
By
2024

Google Doodle Halloween 2024 Ghost Game

author
By

Random Posts

  • Nyc Doe 2024-24 Calendar
  • Minimum Wage Texas 2024 History
  • Mdx 2024 Electric Vehicle
  • 2024 Subaru Crosstrek Hybrid Price Used
  • Elements Festival Reddit Video
  • Olympic Games 2024 Schedule Of Events
  • Holidays In July And August 2024
  • List Of All Modern Olympic Games
  • Outback Steakhouse Menu With Prices 2024
  • When Is Nyc Winter Break 2024
  • Cranberry Cup 2024au
  • World Aquatics Diving World Cup 2024 Berlin
  • Ford Explorer Mileage Chart
  • March Equinox 2024 Time
  • Taoiseach Salary Of
A theme by GradientThemes - A theme by Gradient Themes ยฉ